Нередко случается, что цвет зубов может поменяться по некоторым причинам, а может изначально быть непривлекательным. Множество людей год за годом страдает от щелей между зубами, сколов, трещинок или же неэстетичной формы зубов. С этими и другими похожими проблемами способна помочь операция по установке керамических виниров, о которой есть много положительных отзывов в сети.
Что собой представляют виниры
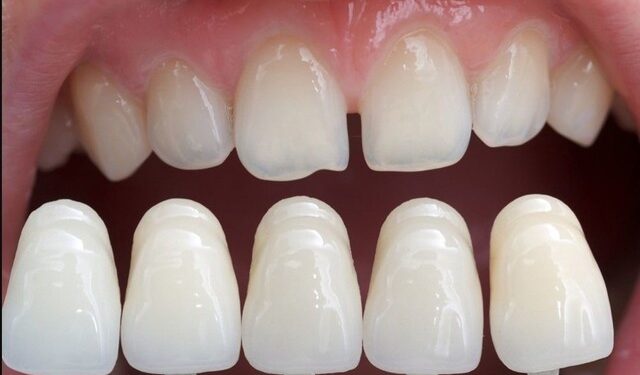
Виниры – это стоматологические накладки, которые фиксируются на передней поверхности зубов, только во фронтальной зоне. Этот вариант помогает без лишних хлопот создать яркую улыбку или подчеркнуть ее привлекательность. Производство и установка виниров – кропотливая работа.
Для создания корректного результата стоматолог может использовать различные способы. В одном случае используется гипсовый слепок челюсти, на основе которого и создаются керамические виниры. В другом – если оснащение клиники позволяет, моделирование происходит на компьютере.
Показания и противопоказания для установки
Причины для установки виниров бывают разные:
-
изменение цвета зубов по причине травмы или приема определенных лекарств, когда даже профессиональная чистка не помогает;
-
между зубами наблюдаются щели;
-
наличие трещинок или даже сколов на зубах;
-
неправильный прикус;
-
форма зубов не устраивает.
Серьезных противопоказаний для процедуры нет. Нельзя их устанавливать, разве что, детям до 18 лет и тем, кто страдает от бруксизма.
Как устанавливаются виниры
Зубы нужно подготовить перед операцией. Устранить следы кариеса, налета и зубного камня. Это необходимо для того, чтобы керамические виниры прослужили дольше. На подготовку может уйти до нескольких недель.
Если возникает необходимость, после профессиональной чистки проводится обточка зубной эмали. После данной процедуры можно быть с точностью уверенным в том, что накладки буду прилегать к зубу плотно. Иногда процедура может быть не нужна, но чаще обточку все же выполняют. Требуется консультация стоматолога.
Затем зубная эмаль протравливается специальными веществами. Они делают поверхность зуба шероховатой, это нужно для того, чтобы улучшить сцепление с пластинкой. Далее делается слепок челюсти, на основе которого и будут изготовлены индивидуальные виниры. Когда с изготовлением будет закончено, останется только посадить их на стоматологический клей.
Примечательно, что каждую пластинку накладывают на каждый зуб отдельно. Благодаря сегодняшнему развитию стоматологии, процедура проходит безболезненно и без последствий.
Какие достоинства и недостатки керамических виниров
Первое, что стоит отметить – быстрый процесс изготовления и установки. Кроме того, полное отсутствие восстановительного периода. Но если конструкцию по какой-то причине придется снять, поставить старые накладки не получится. Однако это еще не все плюсы и минусы керамических виниров.
Из достоинств:
-
естественный внешний вид – края виниров слегка прозрачны, как и у настоящих зубов, потому они практически неотличимы;
-
продолжительный срок службы – цена за керамические виниры на зубы может показаться высокой, но она неизменно окупится за долгие годы ношения;
-
стойкость к потемнению – зубы будут белыми всегда;
-
эстетическая привлекательность, ведь в составе нет сторонних материалов.
Но недостатки перед основной процедурой тоже следует учесть:
-
в большинстве случаев обточка эмали обязательна;
-
в общем и целом подготовка и установка часто занимают много времени;
-
высокая стоимость изготовления и установки.

Источник: https://cis.ua/price/
Сколько служат виниры, если за ними правильно ухаживать
Керамические виниры поставить также можно из композитного материала. Однако, в сравнении с ними, модели из керамики гораздо прочнее и долговечнее. Клиника, как правило, дает гарантию на эти стоматологические накладки, но при этом стоит учесть, что при правильном уходе виниры могут прослужить и дольше 20 лет.
Ухаживать за этими совсем нетрудно. Достаточно регулярно чистить их обычной зубной пастой и щеткой, пользоваться зубной нитью. То есть, никаких особых приспособлений не требуется. Раз в полгода минимум требуется посещать стоматолога, ходить на профессиональную чистку. Если возникнет кариес, можно без хлопот установить микропломбу. Также, примерно через три года по рекомендации врача может понадобиться полировка.
Чтобы сохранить виниры целыми и белоснежными, желательно не есть пищу с красителями, в случае бруксизма желательно пользоваться пластиковыми капами. Также не стоит грызть орехи или семечки, подвергать передние зубы другой серьезной нагрузке.
Как видно, после установки виниров, никаких серьезных перемен в повседневном уходе за зубами не происходит. Но при этом пациент получает ослепительную улыбку, о которой так долго мечтал.






